
Dr. Juan Pablo Alonso del Toro
Neurocirugía y Terapia Endovascular Neurológica
Formación académica
Como neurocirujano y terapista endovascular neurológico, me dedico a cuidar la salud cerebral y espinal de mis pacientes mediante tratamientos modernos y efectivos. Mi práctica combina técnicas quirúrgicas avanzadas y procedimientos mínimamente invasivos para ofrecer soluciones precisas, seguras y personalizadas. Mi prioridad es tu bienestar y recuperación.
Especialista en:
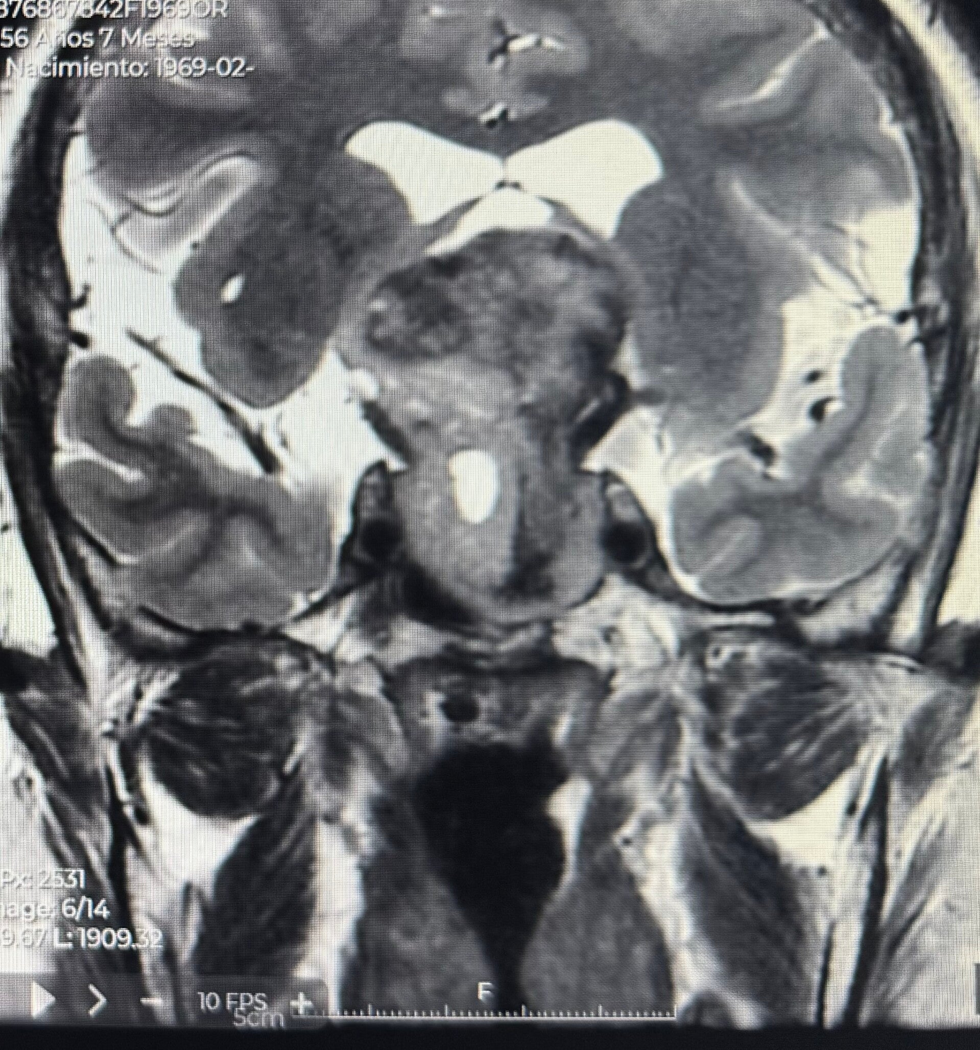
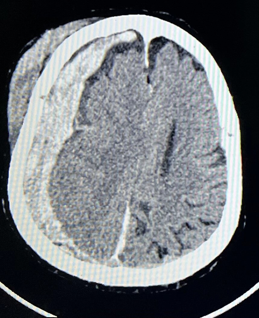
- Tumores cerebrales (Adenomas de Hipofisis, meningiomas, gliomas, entre otros).
- Aneurismas cerebrales.
- Traumatísmo craneoencefálico.
- Hematomas subdurales y epidurales.
- Eventos vasculares cerebrales.
- Hidrocefalia.
- Hernias de disco.
- Tumores de columna.
- Malformación o enfermedad de Chiari.
- Neuralgia del trigémino y espasmo hemifacial.
- Malformaciones y fístulas arteriovenosas.
- Enfermedad y estenosis carotídea.

Añadir comentario
Comentarios
Excelente trato y profesionalismo. El doctor resolvió todas mis dudas con mucha paciencia y estuvo al pendiente de mi evolución en todo momento.
Excelente persona y excelente médico muy atento y muy confiable te explica de pe a pa todo lo que necesitas saber de tu padecimiento.
Quiero agradecer profundamente al doctor por su trato profesional, su calidad humana y el compromiso que mostró en todo momento. Desde la primera consulta se tomó el tiempo de explicarme cada detalle con claridad y sensibilidad, lo cual me dio mucha calma en una etapa complicada. A lo largo de todo el proceso siempre me sentí acompañado y con plena confianza de estar en manos de un especialista altamente capacitado. Es un neurocirujano extraordinario, tanto por su conocimiento como por su trato humano. Lo recomiendo totalmente.
Muy agradecido con el Doctor Juan Pablo, siempre conte con su apoyo de principio a fin del tratamiento.